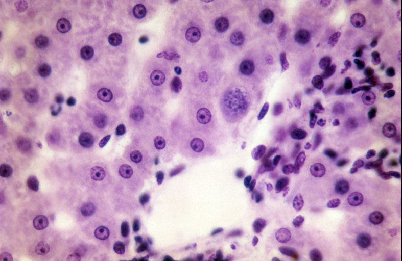
Plasmodium cynomolgi strain B | Pmc

[ Alveolata | Apicomplexa | Aconoidasida | . . .
. . . | Plasmodium | Plasmodium (Plasmodium) | Plasmodium cynomolgi ]

Plasmodium_cynomolgi_strain_B Courtesy of Wellcome Library, London
Taxonomy:Eukaryota | Alveolata | Apicomplexa | Aconoidasida | Haemosporida | Plasmodiidae | Plasmodium | Plasmodium (Plasmodium) | Plasmodium cynomolgi
Synonym:Plasmodium cynomolgi B
Ncbi Go to NCBI Taxonomy (1120755)
Eol Encyclopedia of life
Wiki Wikipedia
Publication: